Полина Колупанова родилась в срок, выглядела здоровой и хорошо питалась. Но на плановом обследовании врачи заподозрили неладное и отправили малышку на УЗИ сердца и дополнительную диагностику. После этого девочке поставили страшный диагноз — тетрада Фалло.
Тетрада Фалло представляет собой врождённый порок сердца, при котором пациент испытывает критическую нехватку кислорода, что проявляется характерным «синюшным» оттенком кожных покровов, одышкой, головокружениями и обмороками.
— Врачи нас успокоили, сказали, что это успешно оперируется. На тот момент мы жили в Магадане, а квоту нам оформили в кардиохирургическом центре Новосибирска — клинике Мешалкина. Операция была у Полинки в 6 месяцев, она прошла хорошо и позволила ей вести полноценную жизнь, — вспоминает мама девочки Татьяна.
Врачи успешно провели операцию и исправили маленькой пациентке анатомическую аномалию развития сердца. Тем не менее Полина находится в группе риска дальнейшего развития сердечно-сосудистых патологий, поэтому находится под постоянном наблюдением кардиологов.

Девочка говорит, что сейчас почти не замечает особенностей в работе сердца — за исключением нечастых проявлений одышки на фоне полного покоя, когда она лежит или сидит. О проведённой операции в основном напоминает шрам посередине грудной клетки.
Юная сибирячка ведет активный образ жизни — она готовится к экзаменам в 11 классе, изучает языки, занимается айкидо и фитнесом, планирует поступать на филологический или исторический факультет.
Однако к своим 16 годам Полина заметила, что одно плечо стало выше другого, бедра тоже визуально стали неровными.

— Я занималась спортом, поэтому не понимала, что происходит — я не горбилась, всегда следила за осанкой. Оказалось, что у меня сколиоз.
Сначала, когда деформация была еще третьей степени, я ощущала внезапные вспышки боли. Когда сколиоз перешел на четвертую степень, боль стала постоянной и с каждым днем усиливалась, даже слезы непроизвольно лились, — рассказывает девочка.
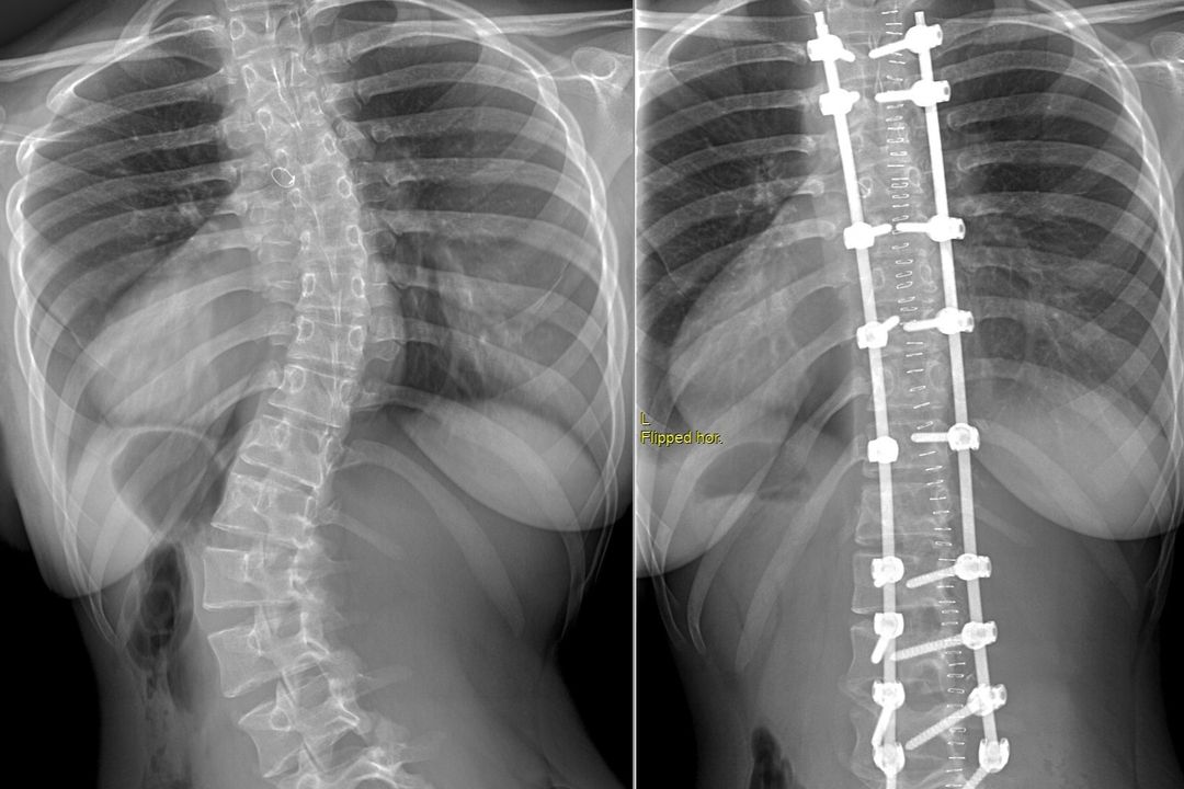
В 2020 году семья Колупановых переехала в Новосибирск. Полина с мамой обратились в НИИТО к хирургу-вертебрологу Михаилу Михайловскому. Школьнице диагностировали идиопатический прогрессирующий декомпенсированный левосторонний поясничный сколиоз IV степени с грудным противоискривлением.
Операция длилась почти 4 часа. Хирурги скорректировали деформацию и зафиксировали позвоночник в правильном положении с помощью специальной металлической конструкции.
После операции Полина увидела себя в зеркале и обомлела.

— Спина стала ровной, плечи и бедра тоже. Я даже испытала восхищение. Мама говорит, можно шрамы на груди и спине закрыть татуировкой или подшлифовать. Но вообще же не у каждого человека есть такой шрам, зачем мне его убирать? Это моя история. Кто-то воспринимает шрамы как что-то плохое, для меня это показатель моей силы, моего собственного духа, что я справилась. Напоминание на будущее, что я справлюсь и с другими трудностями, нужно только попытаться, — поделилась девушка.
Ранее редакция сообщала о том, что хирурги из новосибирского НИИТО помогли 12-летней девочке стать актрисой и кататься на роликах.
